Zdjęcia wewnątrzustne
Okołowierzchołkowe, skrzydłowo-zgryzowe i zgryzowe. Najlepsze do drobnych struktur zęba, próchnicy stycznej, leczenia kanałowego i przyzębia.
Pantomogram, zdjęcie zębowe, cefalometria i CBCT nie są zamiennikami. Każde badanie odpowiada na inne pytanie: próchnica, korzeń, kość, kanał żuchwy, ząb zatrzymany, implant, ortodoncja albo uraz.
To dział o bardzo małym polu widzenia i bardzo dużej odpowiedzialności. Milimetr może decydować o kanale korzeniowym, implancie, nerwie albo planie ortodontycznym.
W stomatologii „większy obraz” nie zawsze znaczy „lepszy obraz”. Próchnica styczna, wierzchołek korzenia czy szczelina ozębnej często wymagają badania wewnątrzustnego.
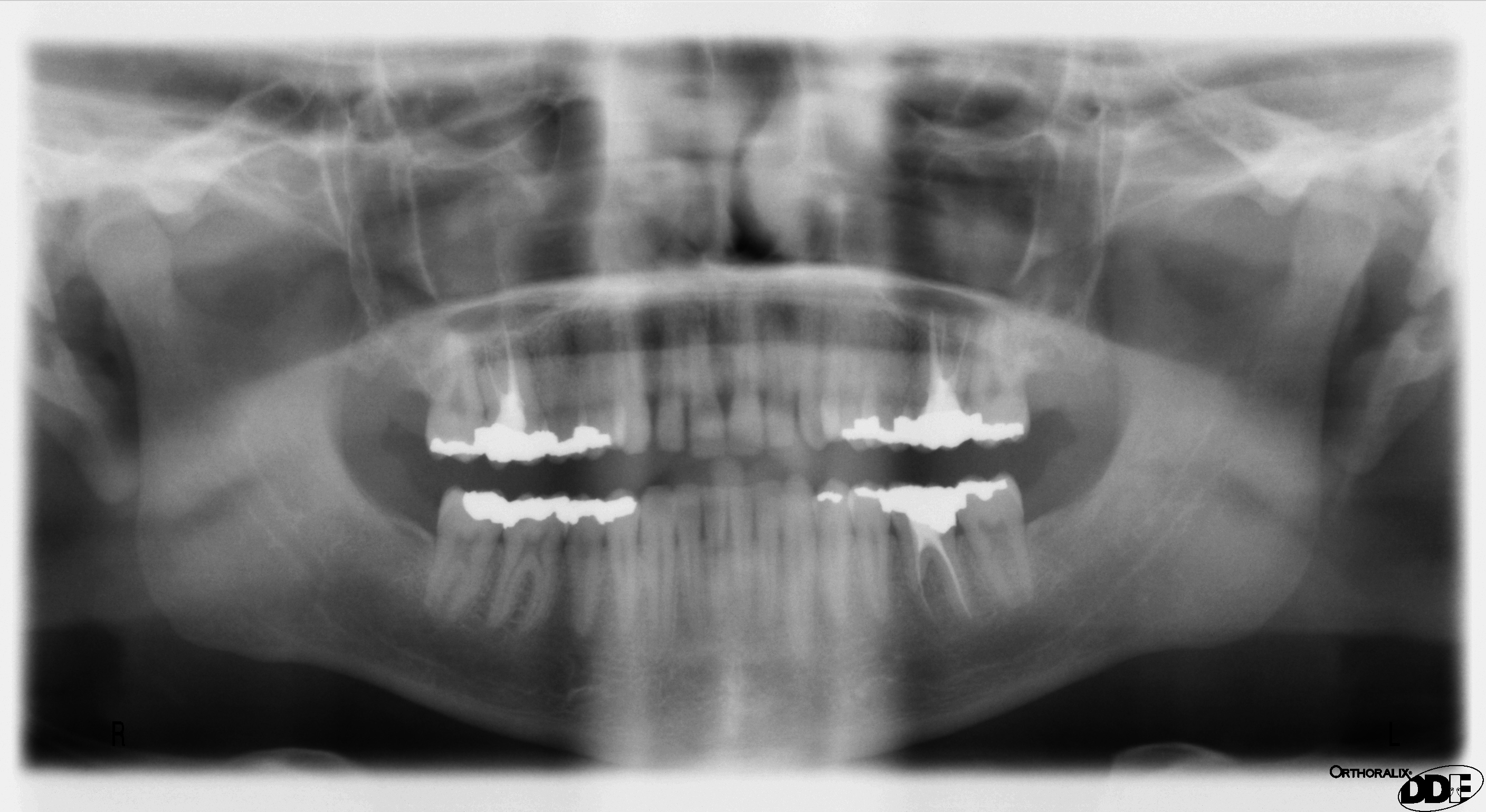
OPG daje przegląd szczęki, żuchwy, zębów i części struktur sąsiednich. Pomaga zaplanować dalsze kroki, ale ma ograniczenia geometrii i ostrości.
Tomografia stożkowa pokazuje relacje przestrzenne: kanał żuchwy, zatokę szczękową, blaszki kostne, zęby zatrzymane, resorpcje i plan implantologiczny.
Badanie powinno mieć jasny cel kliniczny, dobrane pole obrazowania i parametry, które dają diagnostyczny obraz bez niepotrzebnej dawki.
Dobór metody zaczyna się od pytania klinicznego, a nie od aparatu stojącego w gabinecie.
Okołowierzchołkowe, skrzydłowo-zgryzowe i zgryzowe. Najlepsze do drobnych struktur zęba, próchnicy stycznej, leczenia kanałowego i przyzębia.
Przegląd szczęki i żuchwy: zęby zatrzymane, ósemki, zmiany kostne, stan ogólny uzębienia i planowanie dalszej diagnostyki.
Obraz czaszki do analizy ortodontycznej: relacje kości, zębów i profilu tkanek miękkich, plan leczenia i kontrola zmian.
Obraz 3D do implantologii, endodoncji, chirurgii, urazów, zębów zatrzymanych i sytuacji, gdy 2D nie wystarcza do bezpiecznej decyzji.
Najlepszy workflow jest prosty: pytanie kliniczne, najmniejsze potrzebne pole, właściwa technika, kontrola jakości.
Próchnica, ból, uraz, implant, ortodoncja, kanał, ząb zatrzymany albo kontrola leczenia.
Jeżeli zdjęcie punktowe albo OPG odpowiada na pytanie, CBCT nie powinno być wyborem automatycznym.
W CBCT pole FOV powinno obejmować tylko obszar potrzebny do decyzji. Mniejsze pole zwykle oznacza mniej niepotrzebnej ekspozycji.
Pozycjonowanie, brak ruchu, artefakty metalu i prawidłowe parametry decydują, czy obraz da się wiarygodnie ocenić.
Badanie ma sens, jeśli wynik zmienia leczenie, kwalifikację do zabiegu, bezpieczeństwo albo dalszą diagnostykę.
Dawki w stomatologii są zwykle niskie, ale badania są częste i dotyczą także dzieci. Dlatego liczą się uzasadnienie, optymalizacja i unikanie powtórek.
Obrazowanie „na wszelki wypadek” bez pytania klinicznego to zła droga. Najpierw decyzja, czego szukamy.
Małe pole, dobór FOV i parametry pediatryczne zwykle dają większą ochronę niż późniejsze tłumaczenie dawki.
W OPG znaczenie mają linia frankfurcka, pozycja języka, stabilizacja głowy i usunięcie metalu.
Analiza odrzuconych zdjęć, testy aparatu i szkolenie personelu zmniejszają liczbę niepotrzebnych ekspozycji.
Kolczyki, łańcuszki, spinki, ruchome protezy, okulary i elementy metalowe z okolicy głowy oraz szyi, jeśli personel o to poprosi.
Stać nieruchomo, zagryźć uchwyt, oprzeć język o podniebienie i nie połykać przez kilka sekund. To bardzo poprawia jakość obrazu.
Zgłoś ciążę lub jej podejrzenie. Uzasadnione badanie stomatologiczne często da się wykonać bezpiecznie, ale decyzja musi być świadoma i zgodna z procedurą.
Tak. Porównanie pokazuje, czy zmiana jest nowa, stabilna, gojąca się po leczeniu albo wymaga dalszej diagnostyki.
Metal może tworzyć odbicia po przeciwnej stronie obrazu. Dlatego usunięcie biżuterii nie jest formalnością.
Brak kontaktu języka z podniebieniem tworzy ciemny pas powietrza nad korzeniami górnych zębów.
Duża mineralizacja sprawia, że szkliwo silnie osłabia promieniowanie. Próchnica zwykle pojawia się jako przejaśnienie.
To inna metoda, inna dawka i inna odpowiedzialność. Powinna odpowiadać na pytanie przestrzenne.
Tak jak w PET i Gamma Kamerze, dział został rozbity na osobne ścieżki nauki.
Od pierwszych zdjęć zębów po cyfrowe detektory, panoramę i tomografię stożkową.
Promieniowanie X, osłabianie wiązki, detektory i geometria obrazu stomatologicznego.
Zdjęcia okołowierzchołkowe, skrzydłowo-zgryzowe, zgryzowe i podstawy techniki.
OPG jako mapa szczęki, żuchwy, zębów, zatok i stawów skroniowo-żuchwowych.
Tomografia stożkowa, FOV, voxel, artefakty i zastosowania w leczeniu zabiegowym.
Ortodoncja, punkty cefalometryczne, relacje kości i planowanie leczenia.
Uzasadnienie, optymalizacja, dzieci, ciąża, osłony, kolimacja i kontrola jakości.
Endodoncja, implantologia, chirurgia, ortodoncja, urazy i diagnostyka bólu.
Pozycjonowanie, instrukcja pacjenta, artefakty, jakość obrazu i odpowiedzialność zawodowa.
Jak przygotować się do badania, co zgłosić i dlaczego instrukcje przy aparacie są ważne.
Materiał edukacyjny. Nie zastępuje opisu radiologicznego, badania stomatologicznego ani lokalnych procedur ochrony radiologicznej.